Nemoci koček
22. 6. 2008
Nemoci koček
Virové, bakteriální nemoci a plísně
- Vzteklina – mohou se nakazit všechna teplokrevná zvířata včetně člověka. Vždy končí smrtí. Prevencí je každoroční očkování.

- Borrelióza – mohou se nakazit všichni savci včetně člověka. Je přenášena klíšťaty a komáry. Očkování pro kočky zatím neexistuje, prevencí je používání repelentů, které zabrání přisátí klíštěte.
- Panleukopénie – postihuje pouze kočky, často malá koťata. Často končí smrtí. Prevencí je očkování.
- Virová rhinotracheitis – postihuje pouze kočky. Prevencí je očkování.
- Kaliciviróza – postihuje pouze kočky. Prevencí je očkování.
- Infekční peritonitída (Feline Infectious Peritonitis, FIP) – postihuje pouze kočky, vždy končí smrtí. Prevencí je vakcinace.
- FIV, „kočičí AIDS“ – postihuje pouze kočky, končí smrtí.

- kočičí leukóza, FeLV – postihuje pouze kočky, končí smrtí. Prevencí je vakcinace.

- Campylobakterióza – mohou se nakazit všechna teplokrevná zvířata včetně člověka. Človek se nakazí z infekčního trusu, projevuje se žaludečními a střevními problémy. Kočky se nakazí jen zřídka. Prevencí je hygiena.
- Salmonelóza – mohou se nakazit všechna teplokrevná zvířata včetně člověka, i plazi. Prevencí je hygiena.
- Tuberkulóza – kočka se nakazí od nemocného člověka.
- Dermatofytóza – kožní plíseň - mohou se nakazit všichni savci včetně člověka, k nákaze dochází přímým kontaktem nebo pobytem v kontaminovaném prostředí. U člověka i u zvířat se projevuje kožními změnami. Prevencí je hygiena.
Paraziti
Protozoární onemocnění
- Giardióza - půvocem je Giardia intestinalis. Jedná se o průjmové onemocnění mladších koček nebo oslabených jedinců

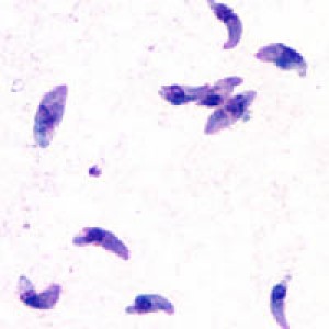
- Toxoplazmóza – původcem je prvok Toxoplasma gondii. Kočky jsou definitivním hostitelem, mezishostitelem jsou ostatní savci včetně člověka.

- Trichomonóza - původcem je Tetratrichomonas felistomae. Postihuje nejčastěji ústní dutinu.
- Teilerióza - původcem je Theileria felis. Onemocnění koček a kočkovitých v Severní Americe, prvok napadá lymfocyty a červené krvinky.
- Izosporóza - původcem jsou kokcidie Isospora felis a I. rivolta. Střevní onemocnění postihující zejména koťata do stáří 4 měsíců.
Helminti
- motolice
-

- Paragonimus westermani (motolice plicní) - motolice vyskytující se v Asii, Afice a Jižní Americe. Kočka se nakazí pozřením sladkovodních raků a krabů, motolice se lokalizují v plicích a vyvolávají zánět plic.
- Opistorchis felineus a O.viverrini - jsou motolice postihující játra a žlučovody. Vyskytují se především v Asii a ve výchdní Evropě. Kočka se nakazí pozřením masa kaprovitých ryb.
- tasemnice
-

- Mesocestoides lineatus
- Dipylidium caninum (tasemnice psí) - nejběžnější tasemnice u masožravcuů v Česku
- Echinococcus multilocularis – definitivním hostitelem je kočka a pes. Tasmenice je nebezpečná pro člověka.
- hlístice
-

- Toxocara cati (škrkavka kočičí) – nejběžnejší střevní hlístice u koček
- Toxascaris leonina (škrkavka šelmí)
- Ancylostoma tubaeforme
- Aelurostrongylus abstrusus - způsobuje plicní červivost koček
- Trichuris vulpis (tenkohlavec liščí) - červi způsobující záněty slepého a tlustého střeva
- Capillaria aerophila - napadá plíce.
Roztoči a hmyz
- Zaklíštění - kočky napadají klíšťata různých druhů, v Česku nejčastěji Ixodes ricinus, význam tkví především v přenosu infekčních onemocnění (tularémie, borelióza, babesióza)

- Ušní svrab – původcem je Otodectes cynotis

- Notoedrový svrab - původcem je zákožka Notoedres cati
- Cheyletielóza - původcem je Cheyletiella yasguri
- Trombikulóza - původcem je sametka podzimní (Neotrombicula autumnalis)
- Všenky - Felicola subrostratus

- Blechy – napadají všechny savce. Prevencí je hygiena a odblešování zablešených koček.

Zdroj: http://cs.wikipedia.org/wiki/Ko%C4%8Dka_dom%C3%A1c%C3%AD
Komentáře
Přehled komentářů
Zatím nebyl vložen žádný komentář

